How yeast find the perfect match
A mass mating event in the lab reveals how yeast cells choose partners - and what predicts the success of their offspring.
A mass mating event in the lab reveals how yeast cells choose partners - and what predicts the success of their offspring.

For the first time, a method developed for treating blood cancer is being applied to Alzheimer's disease in mice, reducing protein deposits and inflammation in the brain.

Carbon-14 dating unlocks ancient secret, indicates monumental Siloam Dam was built in 800 BCE to face a climate crisis.

A massive dam uncovered in Jerusalem’s City of David has been dated to the reign of Kings Joash or Amaziah, showing how Judah’s rulers responded to climate challenges 2,800 years ago.

Despite facing wartime disruptions and international pressure, Israel’s leading universities—Weizmann, Hebrew U, and Technion—remain among the world’s top 100.

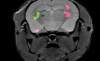
Sparked by mysterious symptoms in a young girl, the discovery reveals the power of global collaboration and digital-age data sharing for demystifying - and hopefully, treating - unexplained diseases.

It started with a ballistic missile hitting the Weizmann Institute of Science in Rehovot and continued with two attacks on Ben Gurion University of the Negev, destroying years of research. But the West is upset about dead Iranian nuclear scientists who will not be able to destroy the world. Opinion.

The Weizmann Institute of Science reports that several buildings on its campus sustained damage during the early morning missile barrage launched by Iran toward central Israel.

A comprehensive gene expression atlas of the human small intestine uncovers the secrets of nutrient absorption and defense against infection.

Researchers at the Weizmann Institute of Science have demonstrated how an emerging magnetic resonance imaging (MRI) approach could make pancreatic tumors 'light up' in MRI scans.

New carbon-dating research reveals new findings about the age of the city of Jerusalem and the dates of its expansion.

Weizmann Institute scientists map out data from a once-in-a-lifetime explosion.

The novel yeast works by out-competing rivals, Weizmann Institute study suggests.

A supernova leaves behind a compact object in a binary system, researchers find.
Exposure to tears activates human smell receptors and alters aggression-related circuits in the brain.

New study reveals how high blood sugar makes lung infections worse; the findings may lead to a strategy for reversing this susceptibility.

Weizmann Institute researchers reveal how exposure to trauma in infancy alters the brain, prove early treatment is vital for rehabilitation.

Scientists at the Weizmann Institute of Science call on colleagues to speak out against terrorism & moral equation between Israel and Hamas.

A newly-discovered binary celestial system may advance our understanding of planet and star evolution under extreme conditions.

New study in mice could pave the way to personalized therapy for depression, anxiety and other stress-related disorders.

Weizmann scientists reveal the step-by-step production of cannabinoids in a South African plant.

Identifying the cells producing hormone EPO may lead to development of therapies for treating anemia from kidney disease, other conditions.

Why do Earth’s hemispheres look equally bright when viewed from space? Weizmann Institute scientists offer a solution.

The findings demonstrate that fungi are living in tumors and may facilitate cancer detection, diagnosis, and perhaps even treatment.

If larger studies confirm the results of a Weizmann Institute innovation, diagnosing cancer may one day be as easy as taking blood.

A new study suggests that neurons are not programmed for a single task, but rather are highly dynamic and agile.

Controlled trial suggests these non-nutritive sweeteners affect the human gut microbes and may alter glucose metabolism.

Without cells that spur on the specialized antifungal units, the fight against a common infection is a lost cause.

Using advanced AI techniques, researchers discover one of the earliest pieces of evidence for the use of fire.

A newly revealed mechanism of ketamine’s action on potassium channels in neurons may lead to improved therapies for depression.

Prof. Michael Sela, renowned immunologist who served as the 6th president of the Weizmann Institute, has passed away at the age of 98.

New study led reveals that storms in the Southern Hemisphere have reached intensity levels previously predicted to occur only in 2080.

Blood vessels originating from lymphatic vessels were found to be tailored to specific functions.

Weizmann researchers in collaboration with Hadassah and Rambam physicians present a new roadmap for exploring poorly understood diseases.

Weizmann Institute of Science researchers discover a new neuroprotective pathway. 'We've identified mutations that reduce inflammation.'

Natural antibodies found in tumors could point the way toward improved immunotherapy.

Weizmann Institute of Science researchers present Israel’s first quantum computer.

When a second infection follows on the heels of a first, the two arms of our immune system may clash.

Three young scientists at leading research institutions in Israel chosen to receive $100,000 each for groundbreaking scientific research.

A new method for mapping gene expression deep in the body could one day be used to track stem cells or cancer therapy.

A first-of-its-kind exploding star – thought to have existed only in theory – was recently discovered.

'Number of hospitalizations rising at similar pace to previous variants,' Prof. Eran Segal, expert at Weizmann Institute of Science, says.

Prof. Eran Segal of the Weizmann Institute warns: Israel's immunity is weakening.

President Isaac Herzog speaks at opening of the 73rd Annual Meeting of the International Board of the Weizmann Institute of Science.

Iconic giant spot on Jupiter, a massive planetary storm, measured for the first time using data collected by NASA's Juno probe.

Off-the-shelf therapies to be developed for entire groups of patients.

Future treatments may involve manipulating an immune cell subtype.

A new study exposes how SARS-CoV-2 tampers with the cell's hardware to outsmart the immune system.

New versions of light-sensitive proteins could illuminate the dark corners of our brain’s communication pathways.

A 3D structure reveals how a unique molecular switch in our brain causes us to feel full – and may help develop improved anti-obesity drugs.

Prof. Eran Segal of the Weizmann Institute publishes data showing higher death rate among haredi, Arab sectors than among general population

Former defense minister reveals untold story of how project to expand number of coronavirus tests to tens of thousands deliberately halted.

Israeli, Jewish academics call on French Parliament to reverse 'Anti-Zionism is Anti-Semitism' resolution.

President Rivlin awarded Doctor of Philosophy by Weizmann Institute of Science.

"Kimchi is one of the pioneers in deciphering the cellular death mechanism programmed in mammals."

New artificial intelligence center at Weizmann Institute in Rehovot aims to help Israel become a world leader in underexplored areas of AI.

A glimpse at a few of the young Israeli scientists heading to the US to meet with the public and with others in their fields.

International team of scientists, including Weizmann Institute physicists, make historic observation of super-dense stars' collision.

The Nature Index of Innovation 2017 points industry to top 200 institutions providing ideas behind inventions.

Latest development by joint Israeli-British-Swiss team could revolutionize the way we take medication.
